Orthodontic Retention

You've worked hard for your beautiful smile; keep it that way!

Finally, your braces have been removed and your smile is beautiful, straight, and best of all, metal-free! However, your orthodontic journey isn't quite completed. To keep your smile looking its best, you'll have to wear a retainer to preserve and stabilize your results. Retainers are needed to control or limit potential changes in tooth position. They are used after braces treatment to hold teeth in their correct alignment while the surrounding gums, bone, and muscle adjust to the new positioning of your teeth.

Types of Retainers

Retainers are custom-made and can be removable or fixed.

Traditional removable retainers typically include a metal wire that surrounds the front teeth and is attached to an acrylic arch that sits in the roof of the mouth. The metal wires can be adjusted to finish treatment and continue minor movement of the front teeth as needed.

Aligner-style retainers, or Essix® retainers, look similar to clear aligners and offer a more aesthetic alternative to wire retainers. This clear retainer may fit over the entire arch of your teeth, or only your front teeth (clip-on retainer). It is produced from a mold of your newly aligned teeth.

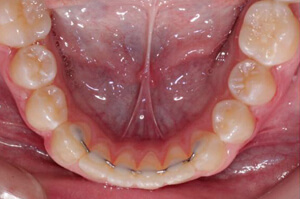
Fixed retainers consist of wires bonded behind the bottom and/or top teeth. Because it is often kept in place for life, patients must be sure to take care of it and keep it clean.


Pros and Cons

  • Removable retainers can be taken out for eating and hygiene routines.
  • Removable retainers can get lost easily, so remember to keep yours in the case whenever you remove it to eat or brush.
  • A fixed retainer is great if you don't want to keep track of it, or if you don't want to worry about how many hours per day it must be worn.
  • Teeth with fixed retainers require a little extra attention to remove tartar while flossing. Patients with fixed retainers often must use floss threaders to pass dental floss through the small spaces between the retainer and the teeth.